In primo piano
Ultime novità

Il Covid altera lo sperma e aumenta l'ansia nella prole
Studio su topi, possibili conseguenze per le future generazioni

Manovra, nasce il Fondo per la programmazione della ricerca
Con oltre 400 milioni per il 2026

Primo passo dei computer quantistici nel mondo reale
Chip di Google analizza molecola più veloce di un supercomputer

Da Bannon al principe Harry, in 800 contro superintelligenza IA
Nobel, esperti e politici chiedono di vietarne lo sviluppo

Individuato nel cervello il circuito che aiuta a placare l'ansia
Apre a trattamenti per disturbi come anoressia e bulimia nervose

Approda in Senato la cosiddetta 'macchina di Majorana'
La denuncia del Cicap: 'voce della razionalità lasciata fuori'

Scoperta pista di orme di dinosauro da record, è lunga 220 metri
E' la più grande lasciata in Europa da un singolo sauropode

Marte spazzato da vortici di polvere, tracciati 1.039 in 20 anni
Aiuteranno a pianificare le missioni future

Sostenibilità e innovazione, verso la Nse New Space Economy 2025
Presentata a Roma la settima edizione della fiera italiana

Microfiori-robot fatti di Dna per recapitare farmaci nel corpo
Cambiano forma a seconda dell'ambiente

Smog su Etna e Pianura padana nelle prime immagini di Sentinel-4
La missione europea monitorerà la qualità dell'aria ogni ora

Dai Cv falsi al vishing, le nuove tecniche dei cybercriminali
Gli identikit dei gruppi raccontati a Cybertech Europe a Roma

Pianura Padana meno inquinata con antica tecnica agricola
Studio Statale di Milano e Mit pubblicato su Scientific Reports

IA e quantum i pericoli cyber più temuti dalle aziende
Rapporto Thales presentato alla Cybertech Europe 2025

Il futuro della cybersicurezza, tra IA e tecnologie quantistiche
Prende il via a Roma la Cybertech Europe, cresciuta del +20%

Esa e Asi,da Italia risultati straordinari in Osservazione Terra
Fra i settori di punta della prossima Conferenza Ministeriale

In Italia circa 500 stazioni per monitorare i terremoti h24
A Milano 3 giorni di confronto sulla Rete sismica nazionale

C'è un legame tra rigidità dei tessuti e progressione dei tumori
I meccanismi molecolari scoperti da uno studio guidato dal Cnr

La Nasa indietro nella corsa alla Luna cerca alternative a Musk
Presto un nuovo bando, possibile il coinvolgimento di Bezos

Il cerambice alpino è tornato in Alto Adige
Popolazione stabile del raro coleottero nei boschi di Caldaro

Tumore seno, farmaco aumenta sopravvivenza senza peggioramento
-62% rischio progressione o morte in pazienti con mutazione Esr1

Nuovo vaccino anti-cancro contro più forme di tumore
A base di nanoparticelle. Dati positivi dai test sui topi

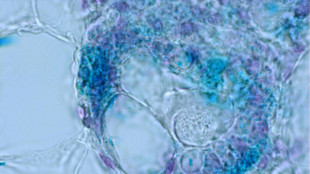
Cellule, spore e insetti nelle 20 migliori foto del 'micromondo'
Premiate dal concorso fotografico Nikon Small World 2025

Catturata la prima immagine di una coppia di buchi neri
Orbitano uno attorno all'altro con una periodicità di 12 anni

Le foreste tropicali australiane sono diventate fonti di CO2
È una risposta al cambiamento climatico

Scoperto il ghiaccio che congela a temperatura ambiente
Si forma in condizioni di pressione estrema

Meno di 4 ore per sequenziare il genoma umano, è record
Utile per cure più tempestive e mirate

Jim Modarelli, il tocco lucano dietro il logo della Nasa
Ideatore ha origini di Colobraro, la storia in un libro

Maker Faire, 45mila visitatori per la fiera dell'innovazione
Tagliaventi: "Un manifesto vivente di umanesimo tecnologico"

Ideare sito Einstein Telescope a Lula, contest Ateneo Cagliari
Si cercano progetti per disegnare centri ricerca e divulgazione

Produzione di farmaci più sostenibile grazie alla luce
Possibile una chimica più verde senza uso di sostanze tossiche

Cammelli incisi sulla roccia segnalavano l'acqua nel deserto
Scoperti in Arabia Saudita, risalgono a 12.000 anni fa